
-
【醫療科普】:你知道骨盆在人體中有什么作用嗎?
大家好,我是南京醫科大學第二附屬醫院骨科副主任醫師王伯堯。這里我來給大家簡單地介紹一下骨盆的結構以及骨盆在人體的作用。接下來跟普愛醫療科普小編一起來了解下吧!...
發布時間:2022-06-09 10:53:50

-
種植牙齒一般要拍口腔CT,你知道為什么嗎?
隨著人們對口腔健康的重視程度的逐漸提高,口腔醫療的需求已從洗牙、拔牙、補牙升級到美牙、正畸、種植等整個口腔治療領域,在醫生進行口腔治療的過程中,就不得不的借助一些科學力量來精準判斷牙齒的問題,口腔CT是多數大型正規醫院都...
發布時間:2022-06-08 14:16:54

-
大平板一體式C形臂骨科臨床案例分享
大平板一體式C形臂?在脊柱和長骨骨折等骨科手術治療中,獲取更大視野、更清晰的骨折部位圖像,能夠有助于醫生在術中及時了解和評估骨折部位的對位、對線情況,且能進行長度和角度測量,為進一步提高手術質量提供強有力的支持。...
發布時間:2022-06-07 09:57:47

-
移動式DR產生的輻射怎么辦,如何防護?
在過去幾個月內,疫情開始出現反復的情況,在防控疫情中,很多方艙醫院會使用到移動式DR設備,它的靈活移動性,大大提高了醫護人員的工作效率,在帶來方便拍攝的同時,移動式DR產生的輻射問題,該如何進行防護呢?...
發布時間:2022-06-06 14:08:02

-
三維C形臂與二維C臂相比,能夠給臨床帶來哪些優勢呢?
三維C形臂,也叫術中CT,它可以術中采集三維圖像,生成類CT斷層圖像及橫斷面圖像,為手術診斷提供多角度信息,有效輔助術中植入物定位以及置入結果檢查。主要適用于骨科、脊柱外科、矯形外科、創傷骨科等科室,尤其適用于復雜部位的...
發布時間:2022-06-02 14:37:43

-
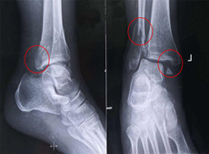
【醫療科普】三維C形臂在足踝手術中的應用優勢
大家好,我是南京醫科大學第二附屬醫院骨科副主任醫師王伯堯,今天我給大家講一講三維C形臂在足踝外科的應用優勢。接下來跟普愛醫療科普小編一起來了解下吧!...
發布時間:2022-06-01 14:09:28

-
數字化DR設備的日常維護怎么做?注意這幾項內容
與傳統X線機比較,數字化DR具有無膠片的數字環境、對比度分辨力高、成像質量高、輻射劑量小等優勢。因其成像原理不同,所以操作員和維修人員不僅要了解數字化DR設備的技術性能、結構原理及操作規程,同時還要做好日常的維護和保養工...
發布時間:2022-05-31 15:45:17

-
什么是移動DR,國產移動DR怎么樣?
移動DR,故名思議即為可以移動的DR設備,DR可以在具有圖像處理功能計算機控制的情況下,采用平板探測器,直接將信息載體X線直接轉化為數字信號。在全民抗疫的過程中,移動DR是重要的醫療裝備。在疫情診斷過程中,移動DR因其明...
發布時間:2022-05-30 14:10:00

-
【醫療科普】評價踝關節手術成功的標準是什么?
大家好,我是南京醫科大學第二附屬醫院骨科副主任醫師王伯堯,這里我給大家講講踝關節骨折復位良好的標準是什么。接下來跟普愛醫療科普小編一起來了解下吧!...
發布時間:2022-05-27 14:06:46

-
【醫療科普】三維影像:看透關節內骨折的“眼睛”
大家好,我是南京醫科大學第二附屬醫院骨科副主任醫師王伯堯,今天為大家介紹什么是看透關節內骨折的“眼睛”。接下來跟普愛醫療科普小編一起來了解下吧!...
發布時間:2022-05-25 14:18:04


